Description
Ankle and Foot Orthopedic Assessment
Instructor: James Demetrious, DC, DABCO
Cost: $25 – 1 CE Hour
Course Description:
This one-hour lecture provides a focused, clinically relevant overview of ankle and foot orthopedic assessment for the chiropractic physician. Emphasis is placed on functional anatomy, evidence-informed orthopedic examination, and differential diagnosis of common and high-risk conditions. Case-based examples and imaging correlations are integrated to enhance clinical reasoning and improve diagnostic accuracy in everyday practice.
Hourly Breakdown:
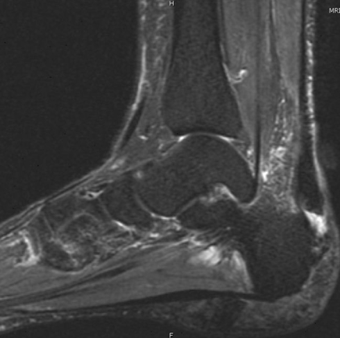
- Anatomy & Functional Biomechanics – Review of ankle and foot anatomy with MRI correlation, including tendons, ligaments, and key neurovascular structures relevant to clinical evaluation.
- Orthopedic Examination & Clinical Testing – Practical orthopedic exam procedures, including palpation, functional testing, and special tests for common conditions such as plantar fasciitis, Achilles tendinopathy, and nerve entrapments.Differential Diagnosis & Case Integration – Systematic approach to heel and ankle pain, including red flags, neuropathic conditions, and instructive case studies (e.g., tendinopathy, bursitis, medication-induced injury).
Learning Objectives
- Develop Diagnostic Precision – Accurately differentiate common ankle and foot conditions using history, examination findings, and clinical patterns.
- Apply Orthopedic Testing Effectively – Perform and interpret key orthopedic tests to guide clinical decision-making and management strategies.
- Recognize High-Risk and “Don’t Miss” Conditions – Identify red flags and non-mechanical causes of foot and ankle pain, including neuropathic, systemic, and iatrogenic presentationss
-
Instructor: James Demetrious, DC, DABCO

Dr. James Demetrious is a nationally distinguished, board certified chiropractic orthopedist. He is a clinician, educator, author, and editor. Dr. Demetrious is the co-founder and CEO of PostGradDC. He is an independent member of the NCMIC Speakers’ Bureau and teaches post-graduate coursework throughout the United States. He has published peer-reviewed journal papers related to advanced differential diagnosis. Dr. Demetrious has continually cared for patients since 1986.





